Ihmisen munuaisten kvantitatiivisen herkkyyskartoituksen (QSM) toteutettavuus
Mar 14, 2022
Lisätietoja:ali.ma@wecistanche.com
Eric Bechler1 · Julia Stabinska1 · Thomas Thiel1 · Jonas Jasse1 · Romans Zukovs2 · Birte Valentin1 · Hans-Jörg Wittsack1 · Alexandra Ljimani1
Abstrakti
Tavoite Arvioida in vivo -toiminnan toteutettavuuskvantitatiivinen herkkyyskartoitus(QSM).munuainen.
Menetelmät Aksiaalinen yhden hengityksen pidätyksen 3D-monikaikusekvenssi (hankintaaika 33 s) suoritettiin 3-T-MRI-skannerilla (Magnetom Prisma, Siemens Healthineers, Erlangen, Saksa) 19 terveellä vapaaehtoisella. Grafiikkaleikkauspohjainen purkaminen yhdistettynä T2*-IDEAL-lähestymistapaan suoritettiin rasvan kemiallisen siirtymän poistamiseksi ja QSM:n kvantifioimiseksi (kvantitatiivinen herkkyyskartoitus)vatsan yläosasta. Koko, munuaiskuoren ja ytimen keskimääräiset herkkyysarvot molemmissamunuaisetja maksa määritettiin ja verrattiin. Viisi koehenkilöä mitattiin kahdesti toistettavuuden tutkimiseksi. Yksi potilas, jolla on vaikeamunuaistenfibroosi otettiin mukaan tutkimukseen QSM:n mahdollisen kliinisen merkityksen arvioimiseksi.
Tulokset QSM (kvantitatiivinen herkkyyskartoitus) onnistui 17 vapaaehtoisella ja munuaisfibroosipotilailla. Vatsan anatomiset rakenteet erottuivat selvästi QSM:llä ja maksassa saadut herkkyysarvot olivat verrattavissa kirjallisuudesta löytyviin arvoihin. Tulokset osoittivat hyvää toistettavuutta. Sitä paitsi keskiarvomunuaistenQSM-arvot, jotka on saatu terveiltä vapaaehtoisilta ({{0}}.04±0,07 ppm oikealla ja −0,06±0,19 ppm vasemmalla)munuainen) olivat huomattavasti korkeammat kuin tutkitussa fibroottisessa mittauksessamunuainen(− {{0}},43±− 0,02 ppm).
Johtopäätös ihmisen QSMmunuainenvoisi olla lupaava lähestymistapa arvioitaessa tietoa mikroskooppisesta munuaiskudoksen rakenteesta. Siksi se saattaa edelleen parantaa toiminnallista munuaisten MR-kuvausta.
Avainsanat Kvantitatiivinen herkkyyskartoitus · MunuaisetMRI · Funktionaalinen munuaisten kuvantaminen
Johdanto
Viime vuosina tutkimuskiinnostus toiminnallisuuteen on lisääntynytmunuaistenMRI. Useat aiemmat tutkimukset ovat osoittaneet MRI-biomarkkerien suuren potentiaalin karakterisoida erilaisia patologisia prosesseja, jotka liittyvät taudin etenemiseen.krooninen munuaissairaus(CKD) [1–3]. CKD:n histologinen tunnusmerkki ja tärkein syy progressiiviseen munuaisten toiminnan heikkenemiseen munuaisten interstitiaalisessa fibroosissa. Siksi interstitiaalisen fibroosin aste munuaiskudoksessa on tärkeä indikaattori määritettäessä kudoksen palautuvuutta.munuaisvaurio. Tähän mennessä ainoa luotettava kliininen väline tubulointerstitiaalisen fibroosin asteen arvioimiseksi on munuaisbiopsia. Koska tämä diagnostinen menettely on invasiivinen, näytteenottovirheen heikentynyt ja se ei ole mielivaltaisesti toistettavissa [4, 5], ei-invasiivinen kuvantamismenetelmä, joka pystyy arvioimaan tarkasti munuaisten interstitiaalisen fibroosin asteen, on erittäin toivottava.
Kvantitatiivinen herkkyyskartoitus(QSM) on uusi MRI-tekniikka, joka käyttää vaihekuvia tuottamaan suurta rakenteellista kontrastia ja kvantitatiivista tietoa kudoksen magneettisesta herkkyydestä [6–9]. Aiemmissa tutkimuksissa QSM on herkkä kudosten mikrorakenteen tai kemiallisen koostumuksen muutoksille [10–12] ja on siksi lupaava, ei-invasiivinen lähestymistapamunuaisteninterstitiaalinen fibroosi [13]
Toistaiseksi QSM:ää on käytetty enimmäkseen patologisten kerrostumien mittaamiseen tyviganglioissa erilaisissa neurologisissa sairauksissa tai maksan raudan ylikuormituksen kuvantamisbiomarkkerina [14–17]. Uusimmat tutkimukset eläinmalleilla ovat tutkineet QSM:n mahdollisuuksia arvioidamunuaistenmikrorakenne [13, 18, 19]. Erityisesti Xie et ai. [13] osoittivat QSM:n herkkyyden munuaistulehduksen ja fibroosin aiheuttaman patologian havaitsemisessa hiirillä. Parhaan tietomme mukaan ei kuitenkaan ole tehty riittävää in vivo tutkimusta herkkyyden kartoittamiseksiihmisen munuainen.
Vatsan QSM (kvantitatiivinen herkkyyskartoitus) pidetään teknisesti haastavana. Ensinnäkin ylävatsan elinten hengitysliikkeet johtavat rajoitettuun rakenteelliseen kontrastiin ja aliarvioituihin herkkyysarvoihin [17]. Toiseksi vatsan rasvan esiintyminen vaikuttaa negatiivisesti B0-kenttäkartan arvioon, joka on kriittinen vaihe QSM-algoritmissa [17, 20]. Kolmanneksi suuret herkkyysvaihtelut ilma-kudosrajapintojen ympärillä aiheuttavat vakavia juovia artefakteja ja siten virheellisiä QSM-karttoja [21]. Lisäksi, kuten tutkimusryhmämme aikaisemmassa alustavassa simulaatiotutkimuksessa [22] osoitettiin, vatsan herkkyyskartan tarkkuuteen vaikuttaa voimakkaasti vaiheen käsittelyvaihe, mukaan lukien purkaminen ja taustakentän poistaminen.
Tämän työn tarkoituksena oli arvioida in vivo QSM:n suorittamisen toteutettavuuttaihmisen munuainenkliinisessä MRI-järjestelmässä. Tätä tarkoitusta varten optimoitu MRI-hankintaprotokolla ja QSM (kvantitatiivinen herkkyyskartoitus) käsittelyputkia käytettiin munuaisten QSM-karttojen saamiseksi.

NapsautaCistanche para que sirve munuaissairauden hoitoon
menetelmät
Tutkimuspopulaatio
Paikallinen eettinen komitea hyväksyi tutkimuksen, ja kaikilta koehenkilöiltä saatiin kirjallinen tietoinen suostumus.
Yhdeksäntoista tervettä vapaaehtoista (keski-ikä 28,1 ± 12,9 vuotta), joilla ei ole aiempaamunuainentutkimukseen osallistui sairaus tai mikä tahansa tunnettu systeeminen sairaus, johon mahdollisesti liittyy munuaisia. Viisi koehenkilöä mitattiin kahdesti 10 minuutin välein mittausten ja uudelleensijoittamisen välillä MRI:ssä toistettavuuden arvioimiseksi.
Lisäksi 78--vuotias miespotilas, jolla on vaikeamunuainenpitkästä anamneesista johtuva fibroosimunuaistenvajaatoiminta (CKD V (eGFR<15 ml/min/1.73="" m2="" )="" for="" 25="" years,="" state="" after="" kidney="" transplantation="" 20="" years="" ago,="" chronic="" graft="" failure="" and="" dialysis="" for="" the="" last="" 5="" years)="" was="" exemplarily="" included="" in="" the="" study="" to="" evaluate="" the="" potential="" clinical="" relevance="" of="">15> (kvantitatiivinen herkkyyskartoitus).
Ennen tutkimusta ei tehty erityisiä valmisteluja [1].

Tiedonkeruu
Tiedonkeruu suoritettiin 3 T skannerilla (Magnetom Prisma, Siemens AG, Healthineers, Erlangen, Saksa) käyttämällä 32-kanavaista selkärankakelaa yhdessä 30-kanavaisen runkokäämin kanssa. Anatomisten kuvien saamiseksi käytettiin puoli-Fourier-single-shot turbo-spin-echo (HASTE) -sekvenssiä kaikilla kolmella kuvan akselilla (aksiaalinen, koronaaalinen ja sagitaalinen). Näitä anatomisia kuvia käytettiin FOV-sijoitteluun seuraavassa QSM:ssä (kvantitatiivinen herkkyyskartoitus) järjestys. FOV sijoitettiin keskellemunuaiset(Kuva 1).
QSM-tiedot hankittiin käyttämällä aksiaalista yhden hengenhengityksen pidätyksen 3D-monikaikugradienttikaikusekvenssiä seuraavilla parametreilla: kaikujen määrä=4; TE1/ΔTE/TR=3.1/3.7/17 ms; kääntökulma=15 astetta ; hankintamatriisi=256×192 × 26; vokselin koko =1,64 × 1,64 × 3 mm3; kaistanleveys=1775 Hz/pikseli; slice and phase Fourier-koodaus=6/8; rinnakkaiskuvauksen kiihtyvyystekijä=2; hankintaaika 33 s. Asetukset kohteellemunuaistenQSM-hankinta määritettiin esitesteissä optimaalisen kuvanlaadun saavuttamiseksi mahdollisimman lyhyessä kuvausajassa.
Hengityksen pidätyksen laatu QSM:n hankinnan aikana varmistettiin visuaalisella ohjauksella integroidulla potilastarkkailukameralla. Lisäksi saatujen tietojen laadun varmisti kaksi vatsan kuvantamisesta kokenutta radiologia (AL 10 vuotta, BV 4 vuotta) ennen jälkikäsittelyä. Jos datassa on merkittäviä liikevirheitä, QSM (kvantitatiivinen herkkyyskartoitus) hankinta toistettiin välittömästi tai jätettiin pois lisäanalyysistä, jos toisto epäonnistui.
Kuva 1 Esimerkki FOV-sijoittelustamunuaistenQSM:n hankinta. FOV sijoitettiin keskeiseen paikkaanmunuaisetvarmistaaksesi yhtenäiset kuvausolosuhteet

Jälkikäsittelyä
Kuvion 2 vuokaavio näyttää rekonstruktiovaiheet, jotka suoritettiin arvioitaessamunuainenQSM kartat. Kaikki laskelmat suoritettiin käyttämällä MATLABia (R2018a; The MathWorks, Inc., Natick, MA).
Ensimmäisessä vaiheessa tiedot nollattiin, jolloin vokselikoko oli 0,8 × 0,8 × 2,25 mm3. QSM:n jälkikäsittely optimoitiin alun perin aivojen kuvantamista varten, jossa rasvan osuus MRI-signaalista on minimaalinen [20]. Sovellukset aivojen ulkopuolella, erityisesti vatsassa, edellyttävät kuitenkin tehokasta rasvanpoistoa, jotta vältetään kvantifiointiharha herkkyyskartoissa. Tässä tutkimuksessa ei-toivottu kemiallinen siirtymävaikutus veden ja rasvan välillä eliminoitiin menetelmällä, jota kutsutaan samanaikaiseksi faasien purkamiseksi ja kemiallisen siirtymän poistamiseksi (SPURS) [20]. SPURS käyttää kaavioihin perustuvaa purkamista eliminoidakseen vaiheen käärityksiä nollatäytetyistä vaihetiedoista. Lisäksi T2*-IDEAL-lähestymistapaa [23] sovellettiin tuloksena olevien rasvakorjattujen kenttäkarttojen laskemiseen, joita käytettiin syötteenä taustakentän poistoon.
Tässä tutkimuksessa koko vatsan maskit luotiin automaattisesti aksiaalisissa kuvissa (Brain Surface Extractor (BSE) BrainSuitesta, versio 18a, Kalifornian yliopisto) nollatäytetyistä magnituditiedoista ei-toivotun ilman poistamiseksi vatsan ulkopuolelta. Segmentoinnin visuaalisen laadunvalvonnan jälkeen luotuja maskeja käytettiin taustakentän poistamiseen Laplacian boundary value (LBV) -algoritmin [24] avulla, joka on osa MEDI-työkalulaatikkoa [25].
Viimeisessä vaiheessa huonosti esitetty käänteinen ongelma ratkaistiin vähentämällä QSM:n artefakteja. (kvantitatiivinen herkkyyskartoitus) (STAR-QSM) menetelmä [26] STI-Suitesta [9], mikä johtaa herkkyyskartoihin. Sekä LBV että STAR-QSM ajettiin oletusasetuksilla.

Ohjelmistoa ITK-SNAP (versio 3.8.0, University of Pennsylvania) käytettiin kiinnostavien alueiden (ROI) piirtämiseen manuaalisesti paravertebraaliseen lihaskudokseen (336 pikseliä), maksassa (900 pikseliä), koko alueelle.munuainen(5533±1792 pikseliä ja 4756±1142 pikseliä vasemmalle ja oikeallemunuaisetvastaavasti),munuaistencortex (1260±279 pikseliä ja 1245±265 pikseliä vasemmalle ja oikealle munuaiselle, vastaavasti) ja munuaisydin (993±293 pikseliä ja 962±392 pikseliä vasemmalle ja oikealle munuaiselle, vastaavasti) (kuva 3). Kaikki ROI:t piirrettiin kolmelle peräkkäiselle viipaleelle ja keskimääräinen herkkyys ja keskihajonta (SD) laskettiin kullekin elimelle ja kohteelle. Paravertebraalista lihaskudosta käytettiin QSM:n kvantifioinnin referenssinä nykyisessä tutkimuksessa herkkyysarvojen johdonmukaisuuden varmistamiseksi (lisämateriaali, taulukko S1) [27].
Kuva 2 Vuokaavio, jossa näkyy herkkyyskarttojen laskennan rekonstruktiovaiheet. Rekonstruoinnin lähtökohtana on nollatäytetty suuruus- ja vaihetieto. Samanaikaista vaiheen purkamista ja kemiallisen siirtymän poistamista (SPURS) sovellettiin nollatäytettyihin faasitietoihin kemiallisten siirtymien vaikutusten poistamiseksi veden ja rasvan välillä. Lisäksi T2*-IDEAL-lähestymistapaa sovellettiin tuloksena olevien rasvakorjattujen kenttäkarttojen laskemiseen (kääretön vaihe). Koko vatsan maskit generoitiin automaattisesti nollalla täytetyistä magnituditiedoista taustakentän poistoa varten Laplacian raja-arvo (LBV) -algoritmin avulla. Viimeisessä vaiheessa huonosti esitetty käänteinen ongelma ratkaistiin vähentämällä QSM:n artefakteja. (kvantitatiivinen herkkyyskartoitus) (STAR-QSM) -menetelmä STI-Suitesta, mikä johtaa herkkyyskartoihin.

Tutkia, vääristävätkö globaalit jälkikäsittelyvaikutukset laskettua QSM:ää (kvantitatiivinen herkkyyskartoitus) arvot, esim. ei-paikalliset virheet epäluotettavista kenttäestimaateista ROI:issa, QSM-arvot maksassa määritettiin ja niitä verrattiin saatavilla oleviin kirjallisuusarvoihin.
Lisäksi ulkoilman poiston tarkkuus on tärkeä askel QSM-mittauksessa. Maskin määritelmän laadun vaikutuksen arvioimiseksi QSM-arvoihin muutettiin maskin määritelmää yhdessä terveessä koehenkilössä. Näin ollen tietoaineistoon sovellettiin neljä erilaista maskia (ilman vatsan ulkopuolella olevaa ilmaa, jotka sisältävät pienen ja suuren määrän ulkoilmaa ja jotka sisältävät koko kuva-alueen) ja oikeanpuoleisen herkkyysarvot.munuainenverrattiin.
Kuva 3 Esimerkki ROI-sijoituksesta. Vatsan suuruuskuva, jossa on esimerkillisiä kiinnostavia alueita (ROI) piirrettynä paravertebraaliseen lihaskudokseen (336 pikseliä), maksaan (900 pikseliä), koko munuaiseen (5533±1792 pikseliä ja 4756±1142 pikseliä vasemmalle ja oikealle munuaiselle). ),munuaistencortex (1260±279 pikseliä ja 1245±265 pikseliä vasemmalle ja oikeallemunuaiset) ja munuaisydin (993 ± 293 pikseliä ja 962 ± 392 pikseliä vasemmalle ja oikealle munuaiselle, vastaavasti)

Tilastollinen analyysi
Vasemman ja oikean puolen herkkyysarvotmunuainenTerveen kontrolliryhmän molempien munuaisten aivokuoren ja ydinosan keskiarvot laskettiin kaikilta koehenkilöiltä ja niitä verrattiin oikean fibroottisen munuaisen sisällä olevaan keskiarvoon ja keskiarvoon QSM:n mahdollisen kliinisen merkityksen arvioimiseksi.
Lisäksi Wilcoxon-testillä verrattiin vasemman ja oikean munuaisen QSM-tuloksia sekämunuaistenaivokuori ja ydin. Lisäksi Pearson-korrelaatiomunuainenja maksaherkkyys laskettiin terveelle kontrolliryhmälle.
Tulokset
Kaksi tervettä henkilöä suljettiin pois lisäanalyysistä keuhkojen ja ympäröivän kudoksen välisellä rajalla olevien vakavien artefaktien vuoksi (kuvio 4e).
QSM (kvantitatiivinen herkkyyskartoitus) kvantifioitiin onnistuneesti 17 jäljellä olevalla terveellä vapaaehtoisella ja potilaallamunuaistenfibroosi (lisämateriaali, kuvat S1–S3). Parenkymatoottiset ylävatsan elimet, kuten maksa ja munuaiset, olivat selvästi erotettavissa näissä aineistoissa (kuva 4). Yhdessä tapauksessa vaiheen purkaminen epäonnistui pienellä alueella lähellämunuainen, mikä johtaa epätarkkoihin herkkyysarvoihin tällä alueella (kuva 4d). Kuitenkin vain pieni osa munuaisista kärsi, ja se huomioitiin ROI-sijoituksen aikana. Munuaisten ja maksan QSM-arvojen välillä ei havaittu korrelaatiota (R2=0.035) (kuva 5), mikä osoittaa, että mikään jälkikäsittelyn globaali vaikutus ei vääristä laskettuja herkkyysarvoja.
Kuva 6 esittää herkkyyskartat ja arvot maskin määritelmän vaihtelulle yhdellä terveellä vapaaehtoisella. Ei muutoksia munuaisten QSM:ssä (kvantitatiivinen herkkyyskartoitus) arvot voidaan tunnistaa suhteellisen pienen segmentoinnin epätarkkuuden tapauksessa (kuvat 6a, b). Suuremmat ilmamäärät johtivat kuitenkin epätarkkoihin herkkyysarvoihin (kuvat 6c, d).
Ilkeätmunuaistenterveiden vapaaehtoisten herkkyysarvot olivat {{0}}.04±0.07 ppm (vaihteluväli − {{10}} .07 - 0,16 ppm) oikealle munuaiselle ja −0,06 ± 0,19 ppm (vaihteluväli -0,35 - 0,39 ppm) vasemmalle munuaiselle (taulukko 1). Oikean ja vasemman keskimääräiset herkkyysarvotmunuaisetolivat merkittävästi erilaisia (s<0.05) showing="" a="" wider="" range="" of="" values="" for="" the="" left="" kidney="" (table="" 1).="" no="" significant="" difference="" between="" cortical="" and="" medullary="" qsm="" values="" of="" the="" right="" or="" the="" left="" kidney="" could="" be="" determined="" (p="">0.05).
Maksan herkkyysarvot mitattuna terveillä vapaaehtoisilla ja potilailla, joilla onmunuaistenfibroosit olivat samalla alueella {{0}},17±0,13 ppm ja 0,15±0,01 ppm munuaisfibroosipotilailla, vastaavasti (taulukko). 2).
Viiden koehenkilön uusittavuusmittaukset osoittivat hyvän toistettavuuden sekä maksan että oikean munuaisen QSM:n osalta (kvantitatiivinen herkkyyskartoitus) ilman merkittävää eroa maksan tai munuaisten herkkyysarvoissa kummankin mittauksen välillä (p{0}}.48) (taulukko 3). Oikean herkkyysarvotmunuainenolivat {{0}}.02±0.06 ppm ja − 0.03±{{15} },11 ppm testi- ja uudelleentestausmittauksille, vastaavasti. Maksaherkkyys oli 0,16±0,10 ppm ja 0,12±0,07 ppm.
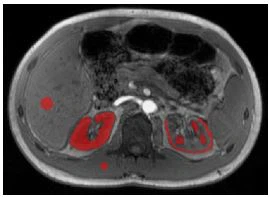
Kuvassa 7 esitetään QSM-kartat, jotka on asetettu suuruuskuvien päälle terveen vapaaehtoisen ja yhden tutkitun potilaan, jolla on munuaisten interstitiaalinen fibroosi. Oikean fibroottisen munuaisen herkkyys oli vahvasti diamagneettinen (− 0,43±0,02 ppm).
Keskustelu
QSM (kvantitatiivinen herkkyyskartoitus) on uusi, lupaava lähestymistapa kudosten mikrorakennetta ja toimintaa koskevien tietojen arvioimiseen. Tässä työssä osoitimme mahdollisuutta suorittaa ihmisen munuaisen QSM in vivo kliinisellä MRI-järjestelmällä. Esitetty hankintasuunnitelma ja edelleen toteutettu QSM-prosessointiputkilinja, joka koostuu huippuluokan QSM-menetelmistä, onnistui 90 prosentilla tutkituista ja johti toistettaviin tuloksiin. Vatsan anatomiset rakenteet erottuivat selvästi QSM-kartoista, ja suoliston alueella oli vain muutamia esineitä. Lisäksi terveillä saatujen keskimääräisten QSM-arvojen välinen eromunuaisetja fibroottisen munuaisen herkkyys osoittaa QSM:n potentiaalin (kvantitatiivinen herkkyyskartoitus) erottamaan terveen ja patologisenmunuaistenkudosta. Koska tämä rahoitus perustuu vain yhteen fibroottiseen tapaukseen, jatkotutkimukset suuremmalla potilasjoukolla osoittavat QSM:n diagnostisen arvon tulevaisuudessa.
Kuva 4 Esimerkkejä käärittyjen ja pakkaamattomien vaiheiden kuvista sekä paikallisista kenttä- ja herkkyyskartoista ja vastaavasta viiden terveen vapaaehtoisen ylävatsan maskista. Anatomiset rakenteet ovat selvästi erotettavissa, ja suoliston alueella (a–c) on vain muutamia esineitä. Yhdessä tapauksessa vaiheen purkaminen epäonnistui lähellämunuainen, mikä johtaa epätarkkoihin herkkyysarvoihin (d, valkoinen nuoli). Esimerkki vakavista artefakteista, jotka johtuvat ilmasta keuhkoissa (esim. mustat nuolet), joita oli kahdella terveellä vapaaehtoisella. Molemmat tietojoukot poistettiin jatkokäsittelystä.

Kuva 5 Pearsonin korrelaatiokäyrä välillämunuaistenja terveiden vapaaehtoisten maksaherkkyysarvot. Munuaisten ja maksan QSM:n välillä ei havaittu korrelaatiota (kvantitatiivinen herkkyyskartoitus) arvot (R2=0.035), mikä osoittaa, että globaalit jälkikäsittelyvaikutukset eivät vaikuttaneet QSM:n kvantifiointiin.

Kuva 6 Esimerkkejä herkkyyskartoista ja arvoista maskin määritelmän vaihtelulle ulkoilman poistoon yhdellä terveellä vapaaehtoisella. Oikeuden QSM-arvoissa ei ole muutoksiamunuainenvoidaan tunnistaa suhteellisen pienen segmentoinnin epätarkkuuden tapauksessa, kun segmentoinnin jälkeen (a) ei ole jäljellä ulkoilmaa ja se sisältää pienen määrän ulkoilmaa (b). Suuremmat ulkoilmamäärät johtivat kuitenkin epätarkkoihin herkkyysarvoihin (c, d)

Taulukko 1 Kokonaisuuden herkkyysarvotmunuainenTerveiden vapaaehtoisten aivokuoren ja ydinosan keskiarvo oli kaikkien 17 koehenkilön osalta

Merkittävä ero QSM:ssä (kvantitatiivinen herkkyyskartoitus) vasemman ja oikean arvotmunuaiset(p<0.05) is="" probably="" based="" on="" higher="" motion="" artifacts="" in="" the="" left="" kidney.="" considering="" the="" standard="" deviation,="" the="" susceptibility="" of="" healthy="">0.05)>munuaistentissue fluctuates around 0 in the current study. No significant difference between cortical and medullar QSM values of the right or the left kidneys could be determined (p>0.05)
Taulukko 2 Terveiden vapaaehtoisten oikean munuaisen ja maksan herkkyysarvot, kaikkien 17 koehenkilön ja vaikeaa munuaisfibroosia sairastavan potilaan keskiarvo

Oikeuden QSM-arvomunuainenmunuaisfibroosia sairastavien potilaiden QSM-arvot eroavat merkittävästi terveiden vapaaehtoisten oikeasta munuaisesta mitatuista QSM-arvoista. Terveillä vapaaehtoisilla ja munuaisfibroosipotilailla mitatut maksan QSM-arvot ovat kuitenkin samalla alueella, lukuun ottamatta yleisiä vaikutuksia, jotka vääristävät munuaisten QSM-tuloksia.
QSM:ää on sovellettu ihmisen vatsaan jo ennen [17, 27, 29, 30], mikä osoittaa lupaavia tuloksia uutena MRI-tekniikana. Menetelmään liittyy kuitenkin joitain teknisiä haasteita, jotka ovat toistaiseksi estäneet sen in vivo soveltamista ihmisen munuaisiin. Yhdistämällä ja optimoimalla jo valmiit kuvan jälkikäsittelyvaiheet QSM:lle (kvantitatiivinen herkkyyskartoitus), osa näistä ongelmista on ratkaistu onnistuneesti nykyisessä tutkimuksessa. Ensinnäkin vapaan hengityksen aiheuttamat liikkeen artefaktit eliminoitiin hankkimalla dataa yhden hengenvedon aikana sisäänhengityksen lopussa. Toiseksi, ei-toivottu kemiallinen siirtymävaikutus veden ja rasvan välillä poistettiin käyttämällä kehittynyttä jälkikäsittelyputkea. Kolmanneksi määritettiin riittävät hankinta- ja jälkikäsittelyparametrit artefaktien minimoimiseksi ja toistettavien tulosten saamiseksi.
Taulukko 3 Toistettavuustulokset.

Oikean keskihajonnan herkkyysarvotmunuainenja maksan keskiarvo laskettiin kaikilta viideltä toistettavuushenkilöltä. Hyvä toistettavuus sekä maksan että oikean munuaisen QSM:n osalta ilman merkittävää eroa maksan tai munuaisten herkkyysarvoissa kummankin mittauksen välillä (p{0}}.48)
Kuva 7 Suuruuskuvat, jotka on peitetty oikean munuaisen QSM-kartan kanssa terveelle vapaaehtoiselle (vasen kuva) ja potilaalle, jolla on munuaisfibroosi (oikea kuva). Fibroottinenmunuainenosoittaa vahvaa diamagneettista arvoa (− {0}},43±− 0,02 ppm), joka oli huomattavasti pienempi kuin terveillä mitattu QSM-arvomunuaistenkudos (oikea munuainen {{0}},04±0,07 ppm)

Tietojemme mukaan tämä on ensimmäinen tutkimus, joka suorittaa in vivo QSM:n (kvantitatiivinen herkkyyskartoitus) ihmisessämunuainenkliinisessä MRI-järjestelmässä. Koska kirjallisuudesta ei ole saatavilla munuaisten QSM-arvoja, pystyimme vain vertaamaan tutkimuksessamme saatuja maksan herkkyysarvoja muiden ryhmien raportoimiin arvoihin. Lin et al. [27], laskennallinen maksaherkkyys vaihteli välillä 0,23 - 5,94 ppm. Heidän tutkimuksensa keskittyi kuitenkin potilaisiin, joilla oli maksan raudan ylikuormitus (hemokromatoosi). Henkilöillä, joilla oli vähemmän maksan rautakertymiä, QSM-arvot olivat noin 0,34 ppm, ja heitä pidettiin terveinä. Tutkimuksessa Dong et al. [20], keskimääräiset maksan herkkyysarvot määritettiin {{10},23±0,07 ppm. Kaiken kaikkiaan nykyisessä tutkimuksessa mitatut maksan QSM-arvot (vaihteluväli 0,01–0,44 ppm) ovat yhdenmukaisia aiemman tutkimuksen kanssa, mikä osoittaa, että mikään globaali vaikutus ei vääristä tuloksiamme.
Huono maskin määritelmä voi vaikuttaamunuaistenQSM-arvot. Siksi ulkoilman poiston optimaalinen tarkkuus on tärkeä askel QSM-määrän määrittämisessä. Tässä tutkimuksessa muutimme yhden terveen henkilön maskin määritelmää. Tässä esimerkissä ei merkittäviä muutoksia oikean QSM-arvoissamunuainenvoidaan tunnistaa suhteellisen pienen segmentoinnin epätarkkuuden tapauksessa, kuten tutkimuksessamme. Kuitenkin, systemaattinen arviointi maskin määritelmän vaikutuksesta QSM-arvoihin voisi olla lisäsimulaatiotutkimusten kohde.
Tässä tutkimuksessa vasemman munuaisen QSM-arvojen vaihtelu oli merkittävästi suurempi kuin oikean munuaisen (s<0.05). this="" difference="" might="" be="" due="" to="" higher="" cardiac="" artifacts="" of="" the="" left="">0.05).>munuainen, kuten useissa aiemmissa munuaisten MRI-tutkimuksissa on osoitettu [28]. Tämä vaikutus saattaa heikentyä munuaisten QSM:n kehittyessä edelleen.
Kortiko-medullaarinen erilaistuminen ei ollut mahdollista QSM:llä (kvantitatiivinen herkkyyskartoitus) in the current study (p>0.05), oletettavasti menetelmän kohtuullisen resoluution vuoksi. QSM:n resoluution parantaminen kortiko-medullaarisen erilaistumisen mahdollistamiseksi tulisi olla jatkotutkimusten kohteena.
QSM:n mahdollisen diagnostisen arvon tutkimiseksi potilas, jolla onmunuaistenfibroosi esimerkkinä loppuvaiheen munuaispatologiasta otettiin mukaan tutkimukseen. Aikaisemmin on raportoitu, että munuaisfibroosi lisää munuaiskudoksen diamagneettista sisältöä [13], mikä johtuu luultavasti kollageenin liiallisesta kertymisestä, joka on voimakkaasti diamagneettista [31]. Keskihajonta huomioon ottaen terveen munuaiskudoksen herkkyys vaihtelee nykyisessä tutkimuksessa noin 0. Tutkimuksessamme fibroottinenmunuainenosoitti vahvaa diamagneettista herkkyysarvoa, joka oli huomattavasti pienempi kuin terveellä munuaiskudoksella. Tulevaa tutkimusta suuremmassa potilasryhmässä tarvitaan munuaisten QSM:n tarkan diagnostisen arvon arvioimiseksi (kvantitatiivinen herkkyyskartoitus).
Työllämme on useita rajoituksia. Ensinnäkin terveiden vapaaehtoisten määrä oli pieni ja vain yksi potilas oli mukana tässä tutkimuksessa. Keskitymme kuitenkin kehittämään vankka hankintaprotokolla ja jälkikäsittelyputkisto munuaisten in vivo QSM:n suorittamiseksi kliinisessä MRI-järjestelmässä. Toiseksi, SPURSia ja T2* IDEAL -lähestymistapaa käytettiin poistamaan ei-toivottu kemiallinen siirtymävaikutus veden ja rasvan välillä ja laskemaan rasvakorjatut kenttäkartat. Tässä tutkimuksessa ei käytetty rasvanpoistotekniikkaa, koska se pidentää hankinta-aikaa. Ongelman ratkaisemiseksi on otettava huomioon nopeammat kuvantamismenetelmät, kuten volumetrinen interpoloitu hengityksen pidätystutkimus (VIBE) [32] tai säteittäiset kuvausjärjestelmät [33], kun mitataan QSM:ää vatsasta. Kolmanneksi syntyneet naamarit poistivat vain ilmaa vatsan ulkopuolelta. Herkkyyslaskelmissa oli edelleen ilmaa suolistossa ja keuhkoissa. Tämä voi johtaa ei-paikallisiin virheisiin ROI:n paikallisissa kentissä [34]. Tässä tutkimuksessa osoitimme kuitenkin hyvää subjektin sisäistä toistettavuutta, mikä viittaa siihen, että vatsan sisällä olevasta ilmasta johtuva virhe on huomiotta. Lisäksi MR-kuvien resoluutio oli melko alhainen, mikä saattoi johtaa herkkyyden aliarvioimiseen [35, 36]. Tämän rajoituksen voittamiseksi raakadata täytettiin nollalla ennen QSM-jälkikäsittelyä. Lisäksi QSM-tiedot saatiin yhdellä 33 sekunnin hengenvedolla, mikä saattaa olla vaikea suorittaa sairaille ja vanhuksille. Monikaikuisen 3D-gradientti-kaikusekvenssin lisäoptimointi on siksi tarpeen skannausajan lyhentämiseksi kuvanlaadun säilyttämiseksi.
Yhteenvetona, in vivo QSM:n toteutettavuus (kvantitatiivinen herkkyyskartoitus) ihmisessämunuainenosoitettiin onnistuneesti nykyisessä tutkimuksessa hyvällä toistettavuudella. Selvä ero QSM-arvoissa terveiden munuaisten ja fibroottisen munuaisen välillä osoittaa QSM:n mahdollisen diagnostisen potentiaalin. Lisätutkimuksia laajemmilla potilaspopulaatioilla tulisi tehdä, jotta voidaan osoittaa QSM:n diagnostinen merkitys toiminnallemunuaistenMR-kuvaus.
Sähköinen lisämateriaali Tämän artikkelin verkkoversio (https://doi.org/10.1007/s10334-020-00895-9) sisältää lisämateriaalia, joka on valtuutettujen käyttäjien saatavilla.
Tekijän panokset EB: tutkimuksen suunnittelu ja suunnittelu, tiedon hankinta, tietojen analysointi ja tulkinta, käsikirjoituksen laatiminen ja kriittinen versio; JS: tutkimuksen suunnittelu ja suunnittelu, tiedon hankinta ja kriittinen tarkistus; TT: tiedon hankinta, analysointi ja tulkinta sekä kriittinen tarkastus; JJ: tiedon hankinta, datan analysointi ja tulkinta sekä kriittinen tarkistaminen; RZ: tietojen hankinta, tietojen analysointi ja tulkinta sekä kriittinen tarkistaminen; BV: tietojen hankinta, tietojen analysointi ja tulkinta sekä kriittinen tarkistaminen; HW: tutkimuksen suunnittelu ja suunnittelu, datan analysointi ja tulkinta sekä kriittinen tarkistaminen; AL: tutkimuksen suunnittelu ja suunnittelu, tiedon hankinta, datan analysointi ja tulkinta, käsikirjoituksen laatiminen ja kriittinen tarkistus.
Rahoitus Open Access -rahoituksen mahdollistaa ja järjestää Projekt DEAL.

Cistanche-munuaisten vajaatoiminnan oireet
Eettisten standardien noudattaminen
Eturistiriita Kirjoittajat vakuuttavat, että heillä ei ole eturistiriitaa. Lisäksi kaikilla kirjoittajilla ei ole taloudellista suhdetta mihinkään organisaatioon. Tutkimusta ei sponsoroitu.Eettinen standardi Tutkimuksen hyväksyi paikallinen eettinen komitea. Tietoinen suostumus Kirjallinen tietoinen suostumus saatiin kaikilta koehenkilöiltä.Avoin pääsy Tämä artikkeli on lisensoitu Creative Commons Attribution 4 -lisenssillä.0 Kansainvälinen lisenssi, joka sallii käytön, jakamisen, mukauttamisen, jakelun ja jäljentämisen missä tahansa välineessä tai muodossa, kunhan mainitset alkuperäisen kirjoittajan ja lähteen asianmukaisesti, annat linkin Creative Commons -lisenssiin ja ilmoitat, jos muutoksia on tehty. tehty. Tämän artikkelin kuvat tai muu kolmannen osapuolen materiaali sisältyy artikkelin Creative Commons -lisenssiin, ellei materiaalin luottorajassa toisin mainita. Jos materiaali ei sisälly artikkelin Creative Commons -lisenssiin ja käyttötarkoituksesi ei ole lakisääteinen tai ylittää sallitun käytön, sinun on hankittava lupa suoraan tekijänoikeuksien haltijalta. Näet kopion tästä lisenssistä osoitteessa http://creativecommons.org/licenses/by/4.{4}}/.
Viitteet
1. Mendichovszky I, Pullens P, Dekkers I, Nery F, Bane O, Pohlmann A, de Boer A, Ljimani A, Odudu A, Buchanan C, Sharma K, Laustsen C, Harteveld A, Golay X, Pedrosa I, Alsop D , Fain S, Caroli A, Prasad P, Francis S, Sigmund E, Fernández-Seara M, Sourbron S (2020) Tekniset suositukset kliiniseen kääntämiseenmunuaistenMRI: tiede- ja teknologiayhteistyön PARENCHIMA-aloitteen konsensushanke. Magn Reson Mater Phy Biol Med 33:131-140
2. Selby NM, Blankestijn PJ, Boor P, Combe C, Eckardt KU, EikefJord E, Garcia-Fernandez N, Golay X, Gordon I, Grenier N, Hockings PD, Jensen JD, Joles JA, Kalra PA, Krämer BK, Mark PB, Mendichovszky IA, Nikolic O, Odudu A, Ong ACM, Ortiz A, Pruijm M, Remuzzi G, Rørvik J, de Seigneux S, Simms RJ, Slatinska J, Summers P, Taal MW, Thoeny HC, Vallée JP, Wolf M , Caroli A, Sourbron S (2018) Magneettiresonanssikuvauksen biomarkkerit kroonisillemunuainentauti: kannanotto eurooppalaisesta tiede- ja teknologiayhteistyöstä PARENCHIMA. Nephrol Dial Transplant 33:24–214
3. Caroli A, Pruijm M, Burnier M, Selby NM (2018) Munuaisten toiminnallinen magneettikuvaus: missä seisomme? Eurooppalaisen COST-toiminnan PARENCHIMA näkökulma. Nephrol Dial -siirto. https://doi.org/10.1093/ndt/gfy181
4. Kretzler M, Cohen CD, Doran P, Henger A, Madden S, Gröne EF, Nelson PJ, Schlöndorf D, Gröne HJ (2002) Repuncturing themunuaistenbiopsia: nefrologian molekyylidiagnoosin strategiat. J Am Soc Nephrol 13:1961–1972
5. Corwin HL, Schwartz MM, Lewis EJ (1988) Näytteen koon merkitys munuaisbiopsian tulkinnassa. Am J Nephrol 8:85–89
6. Haacke EM, Liu S, Buch S, Zheng W, Wu D, Ye Y (2015) Kvantitatiivinen susceptibiliteettikartoitus: nykytila ja tulevaisuuden suunnat. Magn Reson Imaging 33:1–25
7. Liu C, Wei H, Gong NJ, Cronin M, Dibb R, Decker K (2015) Kvantitatiivinen herkkyyskartoitus: kontrastimekanismit ja kliiniset sovellukset. Tomografia 1:3–17
8. Schweser F, Deistung A, Reichenbach JR (2016) MRI-vaiheen kuvantamisen ja käsittelyn perusteet kvantitatiiviseen herkkyyskartoitukseen (QSM). Z Med Phys. 26:6–34
9. Li W, Wu B, Liu C (2011) Ihmisaivojen kvantitatiivinen herkkyyskartoitus heijastaa alueellista vaihtelua kudoskoostumuksessa. NeuroImage 55:1645–1656
10. Wang Y, Liu T (2015) Kvantitatiivinen herkkyyskartoitus (QSM): MRI-tietojen dekoodaus kudosmagneettiselle biomarkkerille. Magn Reson Med 73:82–101
11. Duyn JH, Van Gelderen P, Li TQ, De Zwart JA, Koretsky AP, Fukunaga M (2007) High-field MRI aivokuoren alarakenteen perusteella signaalivaiheessa. Proc Natl Acad Sci USA 104:11796-11801
12. Liu C (2010) Susceptibility-tensor imaging. Magn Reson Med 63:1471–1477
13. Xie L, Sparks MA, Li W, Qi Y, Liu C, Cofman TM, Johnson GA (2013) Quantitative susceptibility mapping ofmunuainentulehdus ja fibroosi tyypin 1 angiotensiinireseptorin puutteellisilla hiirillä. NMR Biomed 26:1853-1863
14. Zivadinov R, Tavazzi E, Bergsland N, Hagemeier J, Lin F, Dwyer MG, Carl E, Kolb C, Hojnacki D, Ramasamy D, Durfee J, Weinstock-Guttman B, Schweser F (2018) Brain iron at kvantitative MRI liittyy vammaisuuteen multippeliskleroosissa. Radiology 289:487–496
15. Li DTH, Hui ES, Chan Q, Yao N, Chua SE, McAlonan GM, Pang SYY, Ho SL, Mak HKF (2018) Kvantitatiivinen herkkyyskartoitus aivokuoren ja limbisen raudan poikkeavuuden indikaattorina Parkinsonin taudissa ja dementiassa. NeuroImage Clin 20:365-373
16. Sun H, Klahr AC, Kate M, Gioia LC, Emery DJ, Butcher KS, Wilman AH (2018) Kvantitatiivinen herkkyyskartoitus kallonsisäisen verenvuodon jälkeen. Radiology 288:830-839
17. Sharma SD, Hernando D, Horng DE, Reeder SB (2015) Kvantitatiivinen herkkyyskartoitus vatsassa maksan raudan ylikuormituksen kuvantamisbiomarkkerina. Magn Reson Med 74:673-683
18. Xie L, Layton AT, Wang N, Larson PEZ, Zhang JL, Lee VS, Liu C, Johnson GA (2016) Dynaaminen kontrastitehostettu kvantitatiivinen herkkyyskartoitus ultralyhyen kaikuajan MRI:llä arvioimista vartenmunuaistentoiminto. Am J Physiol Ren Physiol 310:F174–F182
19. Xie L, Dibb R, Cofer GP, Li W, Nicholls PJ, Johnson GA, Liu C (2015) Susceptibility tensor imaging of munuaisesta ja sen mikrorakenteellisista perusteista. Magn Reson Med 73:1270–1281
20. Dong J, Liu T, Chen F, Zhou D, Dimov A, Raj A, Cheng Q, Spincemaille P, Wang Y (2015) Samanaikainen vaiheen purkaminen ja kemiallisen siirtymän poistaminen (SPURS) graafisen leikkauksen avulla: sovellus kvantitatiivisessa herkkyydessä kartoitus. IEEE Trans Med Imaging 34:531–540
21. Li W, Wang N, Yu F, Han H, Cao W, Romero R, Tantiwongkosi B, Duong TQ, Liu C (2015) Menetelmä juovien artefaktien arvioimiseksi ja poistamiseksi kvantitatiivisessa herkkyyskartoituksessa. NeuroImage 108:111–122
22. Bechler E, Stabinska J, Wittsack H (2019) Analyysi eri vaiheiden purkamismenetelmistä kvantitatiivisen herkkyyskartoituksen optimoimiseksi vatsassa. Magn Reson Med 82:2077–2089
23. Hernando D, Kramer JH, Reeder SB (2013) Monihuippuinen rasvakorjattu kompleksi R2* -relaksometria: teoria, optimointi ja kliininen validointi. Magn Reson Med 70:1319–1331
24. Zhou D, Liu T, Spincemaille P, Wang Y (2014) Taustakentän poisto ratkaisemalla laplalaisen raja-arvoongelman. NMR Biomed 27:312-319
25. Liu J, Liu T, de Rochefort L, Ledoux J, Khalidov I, Chen W, Tsiouris AJ, Wisnief C, Spincemaille P, Prince MR, Wang Y (2012) Morfologia mahdollisti dipoliinversion kvantitatiivisessa herkkyyskartoituksessa käyttämällä rakenteellista johdonmukaisuutta suuruuskuva ja herkkyyskartta. NeuroImage 59:2560–2568
26. Wei H, Dibb R, Zhou Y, Sun Y, Xu J, Wang N, Liu C (2015) Streaking artefaktien vähentäminen kvantitatiiviseen susceptibility kartoitukseen lähteistä, joilla on suuri dynaaminen alue. NMR Biomed 28:1294-1303
27. Lin H, Wei H, He N, Fu C, Cheng S, Shen J, Wang B, Yan X, Liu C, Yan F (2018) Kvantitatiivinen herkkyyskartoitus yhdistettynä veden ja rasvan erottamiseen maksan raudan ja rasvan samanaikaista käyttöä varten fraktioiden kvantifiointi. Eur Radiol 28:3494-3504
28. Kido A, Kataoka M, Yamamoto A, Nakamoto Y, Umeoka S, Koyama T, Maetani Y, Isoda H, Tamai K, Morisawa N, Saga T, Mori S, Togashi K (2010) Diffuusiotensorin MRImunuainenklo 3.{1}} ja 1,5 Tesla. Acta Radiol 51:1059-1063
29. Jafari R, Sheth S, Spincemaille P, Nguyen TD, Prince MR, Wen Y, Guo Y, Deh K, Liu Z, Margolis D, Brittenham GM, Kierans AS, Wang Y (2019) Rapid automated maksan kvantitatiivisen herkkyyden kartoitus. J Magn Reson Imaging. https://doi.org/10.1002/jmri.26632
30. Li J, Lin H, Liu T, Zhang Z, Prince MR, Gillen K, Yan X, Song Q, Hua T, Zhao X, Zhang M, Zhao Y, Li G, Tang G, Yang G, Brittenham GM, Wang Y (2018) Kvantitatiivinen herkkyyskartoitus (QSM) minimoi solupatologian aiheuttamat häiriöt maksan rautapitoisuuden R2*-arvioinnissa. J Magn Reson Imaging 48:1069-1079
31. Luo J, He X, d'Avignon DA, Ackerman JJH, Yablonskiy DA (2010) Proteiinin aiheuttama vesi 1H MR -taajuusmuutokset: magneettisen suskeptiibiliteetti ja vaihtovaikutukset. J Magn Reson 202:102–108
32. Rofsky NM, Lee VS, Laub G, Pollack MA, Krinsky GA, Thomasson D, Ambrosino MM, Weinreb JC (1999) Vatsan MR-kuvaus volumetrisellä interpoloidulla hengityksen pidätystutkimuksella. Radiology 212:876-884
33. Yedururi S, Kang HC, Wei W, Wagner-Bartak NA, Marcal LP, Staford RJ, Willis BJ, Szklaruk J (2016) Vapaasti hengittävä säteittäinen volumetrinen interpoloitu hengityksen pidätystutkimus vs. hengityksen pidätyksen suorakulmainen volumetrinen interpoloitu hengityksen pidätys maksan magneettikuvaus 1,5 T:ssa. World J Radiol 8:707
34. Schweser F, Robinson S, de Rochefort L, Li W, Bredies K (2017) Kuvattu vertailu vaiheiden MRI:n ja QSM:n prosessointimenetelmistä: taustakentän vaikutusten poistaminen kiinnostavan alueen ulkopuolisista lähteistä. NMR Biomed. https://doi.org/10.1002/nm.3604
35. Karsa A, Punwani S, Shmueli K (2019) Alhaisen resoluution ja peiton vaikutus herkkyyskartoituksen tarkkuuteen. Magn Reson Med 81:1833–1848
36. Zhou D, Cho J, Zhang J, Spincemaille P, Wang Y (2017) Susceptibility underestimation in high-susceptibility phantom: riippuvuus kuvantamisen resoluutiosta, suuruuskontrastista ja muista parametreista. Magn Reson Med 78:1080-1086
Julkaisijan huomautus Springer Nature pysyy neutraalina julkaistujen karttojen ja institutionaalisten yhteyksien suhteen.
